¿Quiénes somos?

Dra. Karen Rocha Ceballos
Dra. Karen Rocha Ceballos

Cardióloga Veterinaria

Formación académica
  • Médico Veterinario – Universidad Iberoamericana de Ciencia y Tecnología (2014)
  • Diplomado en Diagnóstico por imagen en pequeños animales Vet Point
  • Diplomado Internacional en Cardiología Veterinaria en Vet Cam Specialists, año 2023

Clínica Veterinaria Los Quillayes está ubicada en la comuna de La Florida, cerca del paradero 25 de Vicuña Mackenna y a pasos del metro Los Quillayes, brindando atención y cuidado a toda la comunidad.

Nos especializamos en ofrecer servicios veterinarios de alta calidad, con un enfoque integral en el bienestar de tu mascota. Ahora contamos con atención tanto en clínica como a domicilio para mayor comodidad.

Atención directa con la Dra. Karen Rocha Ceballos

La Dra. Karen Rocha Ceballos, médico veterinario y propietaria de la Clínica Veterinaria Los Quillayes, es especialista en ecocardiografía. Todos los estudios son realizados personalmente por ella, ya sea en la clínica o a domicilio, lo que asegura una evaluación detallada, cercana y personalizada. Al no depender de agendas externas, podemos ofrecer a nuestros pacientes una mayor disponibilidad de horas y una atención flexible según sus necesidades.

Solicita tu hora directamente con la Dra. Karen y asegura una evaluación de calidad para tu mascota.

Solicitar hora por WhatsApp

Cardiólogo veterinario con atención rápida en 24 a 48 horas (a domicilio o en clínica)

Si tu mascota presenta signos de alerta como fatiga repentina, dificultad respiratoria, síncope o necesita una evaluación previa a una cirugía, contamos con un servicio de evaluación cardiológica rápida que incluye ecocardiografía, electrocardiograma y medición de presión arterial.

Gracias a nuestro sistema de atención prioritaria en cardiología, podemos programar estas evaluaciones en un plazo de 24 a 48 horas, ya sea en nuestra clínica o en la comodidad de tu domicilio, según la necesidad del paciente y la disponibilidad de agenda. Esto nos permite tomar decisiones clínicas importantes sin demoras que puedan poner en riesgo la salud de tu mascota.

No esperes más: contáctanos y te asignaremos una hora de atención lo antes posible.

Solicitar hora por WhatsApp

Nuestros valores fundamentales:

  • Conciencia animal
  • Respeto y amor por las mascotas
  • Cuidado integral para su bienestar

Nos esforzamos por ser un lugar de confianza, donde tu mascota siempre recibirá el mejor cuidado y atención profesional. ¡Tu compañero merece lo mejor y nosotros estamos aquí para brindárselo!

Clínica Veterinaria Los Quillayes se esfuerza por ser un lugar de confianza donde tu mascota reciba el mejor cuidado y atención profesional. ¡Tu compañero merece lo mejor, y nosotros estamos aquí para brindárselo!

Ofrecemos ecocardiografías a domicilio para perros y gatos en las comunas de La Florida y Puente Alto, así como en una amplia cobertura dentro de la Región Metropolitana. Nuestro servicio a domicilio incluye equipamiento profesional y atención veterinaria especializada en la comodidad de tu hogar.

Atendemos a domicilio en las siguientes comunas: Cerrillos, Cerro Navia, Colina, Conchalí, El Bosque, Estación Central, Independencia, Isla de Maipo, La Cisterna, La Florida, La Granja, La Pintana, La Reina, Las Condes, Lo Barnechea, Lo Espejo, Lo Prado, Macul, Maipú, Ñuñoa, Paine, Pedro Aguirre Cerda, Peñaflor, Peñalolén, Providencia, Pudahuel, Puente Alto, Quinta Normal, Recoleta, Renca, San Bernardo, San Joaquín, San José de Maipo, San Miguel, San Ramón, Santiago, Vitacura, Pirque, La Dehesa.

¿No ves tu comuna en la lista? Contáctanos y evaluaremos si podemos atender en tu zona.

Contáctanos por WhatsApp

Nuestros Servicios

Consultas

Consultas especializadas en cardiología veterinaria, incluyendo ecocardiografía, electrocardiografía y monitoreo de presión arterial para un diagnóstico certero y un tratamiento adecuado en cada caso.

Agendar por WhatsApp
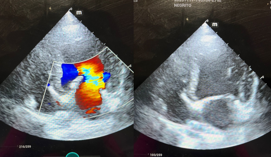
Ecocardiografía a domicilio

Estudio detallado del corazón con tecnología especializada. Realizamos ecocardiografías a domicilio o en la clínica, según disponibilidad de agenda y requerimientos del paciente.

Agendar por WhatsApp
Ecocardiografía en 24 a 48 horas

¿Tu mascota necesita una ecocardiografía o una evaluación por un cardiólogo veterinario en un plazo breve de 24 a 48 horas? Este servicio está diseñado para casos que requieren una atención rápida, como evaluaciones prequirúrgicas, descompensaciones cardíacas o cuando tu veterinario tratante solicita una valoración prioritaria.

Agendar por WhatsApp
Convenios con clínicas

Ofrecemos convenios para clínicas veterinarias que necesiten realizar ecocardiografías. Coordinamos visitas semanales o mensuales para atender a tus pacientes directamente en tu centro. Atención profesional y confiable.

Coordinar convenio

Diagnóstico por Imagen

Eco-cardiografía Veterinaria

Cardiología veterinaria a domicilio

Es una evaluación detallada del corazón mediante ultrasonido. Permite diagnosticar problemas cardíacos como soplos, insuficiencia cardíaca o enfermedades congénitas. Nuestro equipo portátil permite hacerlo en tu casa sin estrés para tu mascota.

Solicitar información

Nuestros Pacientes

Opiniones de nuestros clientes

Últimas entradas del Blog

Gatos, Confianza y Cuidado

Un espacio para quienes aman a sus felinos tanto como nosotros.

Preguntas Frecuentes

Cuando se sospechan problemas cardíacos como soplos, fatiga excesiva, desmayos o jadeo anormal, especialmente en mascotas mayores o con antecedentes cardíacos.

Sí, contamos con equipos portátiles para realizar ecocardiografías en la comodidad del hogar de tu mascota.